-
Aplicação Tópica de Flúor
-
Restauração a Amálgamar
-
Cárie Proximal
-
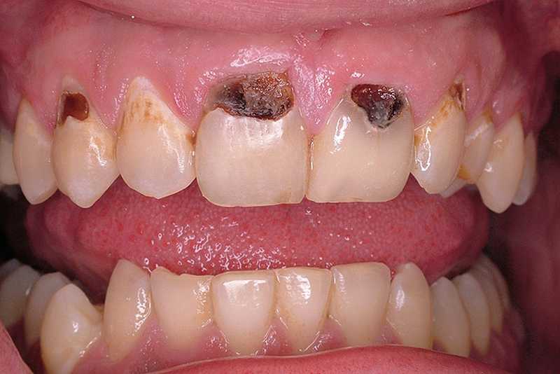
Cáries Vestibulares
-
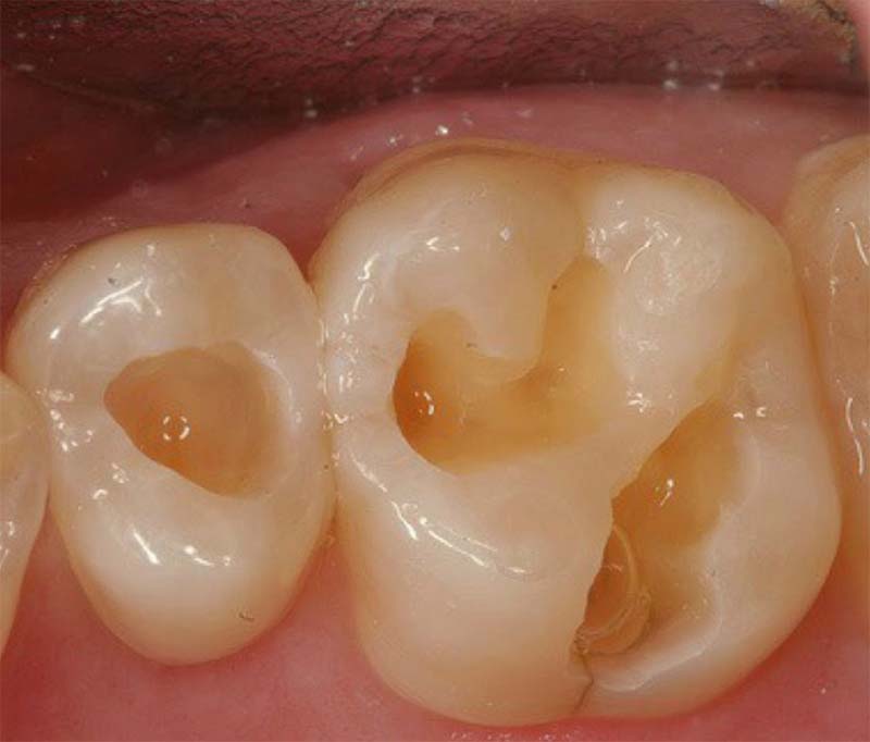
Dentes Posteriores Cariados
-
Dentes preparados para receberem Restaurações
-
Cáries
-
Progressão da Cárie
-
Estadios da Cárie Dentária
-
Preenchimento de Cavidade
-
Fractura Longitudinal de Premolar - Muito Comum
-
Importante - Escovagem Bi-diaria
-
Importante - Revisões Periódicas
-
Importante - Uso do Fio Dentário
-
Lesão de Cárie
-
Mantenedor de Espaço
-
Multiplas Cáries Dentárias
-
Polimerização de Compósito
-
Cárie Dentária
-
Selamento de Fissuras
-
Selamento de Fissuras Antes e Depois
-
Selamento de Fissuras
-
Tratamento
-
Tratamento

